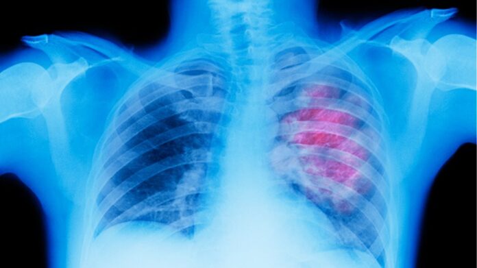
Η διάγνωση του καρκίνου του πνεύμονα σε πρώιμο στάδιο με αξονική τομογραφία χαμηλής δόσης βελτιώνει σημαντικά το ποσοστό επιβίωσης μακροπρόθεσμα, σύμφωνα με μεγάλης κλίμακας μελέτη ερευνητών της Ιατρικής Σχολής του Mount Sinai, που δημοσιεύεται στο περιοδικό Radiology.
Περισσότεροι από τους μισούς ασθενείς με καρκίνο του πνεύμονα πεθαίνουν εντός ενός έτους από τη διάγνωσή τους, καθιστώντας τον την κύρια αιτία θανάτου από καρκίνο, καθώς μέχρι να εμφανιστούν τα συμπτώματα είναι συχνά πολύ αργά. Μόνο το 16% των καρκίνων του πνεύμονα διαγιγνώσκονται σε πρώιμο στάδιο. Αν και οι θεραπείες των προχωρημένων καρκίνων με στοχευμένη θεραπεία και ανοσοθεραπεία έχουν εξελιχθεί πολύ, το καλύτερο εργαλείο κατά των θανάτων από καρκίνο του πνεύμονα είναι η έγκαιρη διάγνωση πριν από την εμφάνιση συμπτωμάτων, επισημαίνουν οι συγγραφείς της μελέτης.
Στην έρευνα μελετήθηκαν 1.257 συμμετέχοντες που διαγνώστηκαν με καρκίνο του πνεύμονα και εξετάστηκαν τα ποσοστά επιβίωσής τους σε χρονικό διάστημα 20 ετών. Από αυτούς τους ασθενείς, το 81% είχε νόσο σταδίου Ι, δηλαδή έναν πολύ μικρό όγκο που δεν έχει εξαπλωθεί στους λεμφαδένες. Το ποσοστό μακροχρόνιας επιβίωσής τους ήταν 87%. Εάν η διάγνωση γινόταν στο πρωιμότερο στάδιο Ι η μακροχρόνια επιβίωση θα ήταν 95%.
Η ομάδα εμπειρογνωμόνων «Ομάδα Εργασίας Προληπτικών Υπηρεσιών των ΗΠΑ» συνιστά ετήσιο έλεγχο με αξονική τομογραφία χαμηλής δόσης για τον καρκίνο του πνεύμονα σε ενήλικες 50-80 ετών, οι οποίοι έχουν ιστορικό καπνίσματος 20 ετών (σ.σ. ως μονάδα μέτρησης υπολογίζεται το κάπνισμα ενός πακέτου την ημέρα για 20 χρόνια) και καπνίζουν σήμερα ή έχουν διακόψει το κάπνισμα τα τελευταία 15 χρόνια.

